Functional Neurosurgery
functionalneuro.surgery
Functionalneurosurgery.net

IOM Sites
iomonitoring.org
operativemonitoring.com

Neurosurgical Sites
neurosurgery.me
neurosurgery.mx
neurosurgery.tv
skullbase.surgery

Neurosurgical Encyclopedia
neurosurgicalencyclopedia.org

Neurooncological Sites
acousticschwannoma.com
craniopharyngiomas.com
ependymomas.com
gliomas.info
meningiomas.org
pinealomas.com
pituitaryadenomas.com 


Neuroanatomical Sites
humanneuroanatomy.com 
microneuroanatomy.com

Neuroanesthesia Sites
neuroanesthesia.info

Neuroendocrinologiacl Site
humanneuroendocrinology.com

Neurobiological Sites
humanneurobiology.com

Neurohistopathological
neurorhistopathology.com

Neuro ICU Site
neuroicu.info

Neuroophthalmological
neuroophthalmology.org

Neurophysiological Sites
humanneurophysiology.com

Neuroradiological Sites
neuroradiology.today

NeuroSience Sites
neuro.science

Neurovascular Sites
vascularneurosurgery.com

Personal Sites
cns.clinic

Spine Surgery Sites
spine.surgery
spondylolisthesis.info
paraplegia.today


Stem Cell Therapy Site
neurostemcell.com


Inomed Stockert Neuro N50. A versatile
RF lesion generator and stimulator for
countless applications and many uses


Multigen RF lesion generator .

 

INTRAOPERATIVE MRI RESULTS DURING THE PERIOD 2013-2018 IN NEUROSURGERY AND SPINE SURGERY.

Author: Munir Elias. M.D, Ph.D.

Abstract
Background:
High-field intraoperative MRI is gaining increasing recognition as an invaluable tool in neurosurgery and spine surgery where the questions and problems concerning morphologic data arising during the surgery need quick answers. We report the initial experience of a dedicated 3-T intraoperative MRI unit with all MRI neuro applications, neurophysiologic monitoring, MRI compatible anesthesia machine with MRI compatible monitoring vital devices and specially constructed sliding door and second dockable table in the management of certain neurosurgical and spine surgery.

Methods:
Well documented twenty seven patients, among many not mentioned (mean age 44 years; range 3–85 years) underwent IoMRI between November 2013 and April 2018, Using a 3-T MR scanner located adjacent to the neurosurgical operating theater that is equipped with neurophysiologic facilities. IoMRI was performed either to assess the extent of tumor resection after surgical impression of complete/intended tumor resection or to update the next steps in surgery. The surgical aims, IoMRI findings, extent of tumor resection, escalations of possible events in the surround or remotely and follow-up data were reviewed. Concerning functional data, ISIS Neuroexplorer 32 channel with all needed protocols is helpful in detecting the functionality of the neural structures during surgery.

Results:
Complete resection of tumors was intended in certain tumors without proper borders in 15 operations. IoMRI confirmed complete resection in 30% of this group. IoMRI findings led to further resection in this last group. In 3 of 15 (20%), IoMRI was equivocal for residual tumor and when there was evidence of residual tumor was found on re-inspection, further IoMRI was repeated until the situation was considered acceptable, or further radical resection will harm the patient outcome. Some patients required follow up MRI even the same day of operation or the 2-3 postoperative days.

Conclusions:
IoMRI has led to increased rate of tumor resection and a change in surgical strategy with further tumor resection in 70% of patients. While interpreting IoMRI, it is important to be aware of the known pitfalls. Using the MRI neuro software is more important than performing the standard protocol. New problems and new findings took place during the use of these technologies which needs future solutions.

Keywords: Magnetic resonance imaging, intraoperative MRI, intraoperative neurophysiologic monitoring, neurosurgery, spine surgery

INTRODUCTION
Neurosurgery and spine surgery have a lot of challenges. During surgery, even with an experienced neurosurgeon, safe and real time answers must be ready by using intraoperative MRI and neurophysiologic monitoring. Brain tumors are a major cause of mortality and long-term morbidity. Surgery is a vital part of management, and the degree of primary surgical resection is a major prognostic factor in several tumor types, including the more common malignant tumors such as medulloblastoma, high-grade glioma, and ependymoma.[1,8,10] For low-grade glioma, the most common brain tumor in childhood, glioblastoma multiforme, high grade astrocytomas, and many other conditions in adults, complete surgical excision is generally provide more acceptable results.
High-field intraoperative MRI (IoMRI) is rapidly developing as an aid to safe and effective neurosurgery and spine surgery. The use of neurophysiologic monitoring and operating microscopes is well established in aiding tumor resection. Whilst the role of IoMRI is well documented in adult neurooncology practice, there is tendency to accept this setup as standard in all fields of neurosurgery and spine surgery.

HIGH-FIELD IOMRI FACILITY: DESIGN AND SAFETY CONSIDERATIONS
The IoMRI system at Al-Shmaisani hospital, Amman-Jordan, involves a two-room solution which allows independent function of individual components. It is equipped with a 3 tesla Siemens Skyra with a length of 157 cm and an inner bore of 70 cm, 2 dockable tables, TxRx head coil 3T, all needed coils, all neurosuite more than 30 software, such as fibertraking, spectroscopy, TWIST, SWI, functional MRI, ASL and many unmentioned here software. The facility design allows for diagnostic MRI when not needed for IoMRI, making the facility economically viable and allowing for optimal use of this expensive technology. The IoMRI suite is located next to the neurosurgical operating theater, separated by special sliding door produced by Siemens to prevent bacterial and ferromagnetic interference. This arrangement enables independent use of the neurosurgical operating theater and the MRI scanner when IoMRI is not needed.

Special coils and hardware are necessary to facilitate maintenance of sterility of the operative field. IoMRI can be performed using a dedicated Inomed Riechert-Mundinger system with ceramic ring and carbonized screws. In most cases, the wound was temporarily closed, sent to the scanner and connected to the other MRI compatible anesthesia machine. Safe transfer of the patient into the MRI scanner is achieved by the same dockable table. The other second dockable table is intended for security measures in case of troubleshooting of the first. If the patient is under G.A., then the endotrachial tube must be MRI compatible. The iPs 5 Inomed software is an excellent program to facilitate certain tracks, avoiding during that the arteries, veins and important structures.

IoMRI poses certain challenges in terms of safe use, both for the theater staff and for the anesthetized patient. The general safety and anesthetic considerations for IoMRI are outlined in many articles. For more information, please click here!12

MATERIALS AND METHODS
Patients
Between November 2013 and March 2018, IoMRI was performed on many patients. The fully illustrated documented cases taken to the study were 27 cases with mean age was 44 years (range 3-85 years).

Imaging
IoMRI was performed on a Skyra 3-T scanner, with all neuro MRI software, located alongside the neurosurgical operation theater and equipped with neuronavigation facility and intraoperative neuromonitoring using ISIS 32 channels with complete setup from Inomed. Preoperative imaging was performed on the 3-T scanner.

The surgical aim (complete, subtotal, near-total resection) was defined preoperatively by a multidisciplinary team. The intraoperative imaging sequences were tailored to tumor characteristics and surgical aims. IoMRI sequences performed with all necessary neuro protocols, related to the case and situation. In complex operations, more than one intraoperative scan may be required. The specific parameters for the MR sequences have been described by Abernethy et al.[2] High-field IoMRI also allows for advanced multimodal imaging to be performed, which can aid in surgical decision making.
IoMRI was limited to the precontrast sequences if there was unequivocal evidence of residual tumor. The IoMRI scan served as the early postoperative MRI if the IoMRI revealed complete tumor resection or satisfactory degree of subtotal/near-total resection. Repeat IoMRI was performed if further tumor resection was performed after the first IoMRI. Contrast agent was used during IoMRI if the tumors demonstrated enhancement on preoperative imaging. The majority of the children received only one dose of contrast during the first and only IoMRI study. The duration of the IoMRI varied between 10-60 min according to the required studies to update a complete early intraoperative study or studies.

The IoMRI interpretation was performed by the operating neurosurgeon. If the IoMRI findings led to further tumor resection, tissue samples were obtained for histopathologic analysis.

Following the IoMRI, the patient is transferred back to the operating theater, where the images are immediately available to the neurosurgeon using advanced multimodal image display technology.

Among the MRI neuro clinical applications, MRI spectroscopy 15 is the most important one in presence of brain masses. It can with confidence tell if the lesion is an abscess, lymphoma, active multiple sclerosis lesion, grade of malignancy of the brain tumors.12 It is useful tool before surgery, that when the patient coming with report as having brain tumor, to end with an abscess. It is useful even during surgery to differentiate the tumor residual from hematoma due to surgical intervention. Even with strict hemostasis, when you send the patient to the MRI some amount of hematoma accumulate, and SWI and spectroscopy can help in the nature of the residual.

Below, showing a case with posterior third ventricular anaplastic ganglioma in 30 years old patient to whom intraoperative MRI with spectroscopy, SWI and MRA were performed twice to confirm the total resection of the tumor. See fig-1-7.


Fig-1: Choline distribution showing a small nidus of possible malignant character befor attacking the lesion.


Fig-2: Short Echo spectroscopy in favor of pinealoblastoma, which proved later to be anaplastic ganglioglioma. These data before attacking the lesion.


Fig-3: The next intraoperative MRI showing total resection of the mass and floating venous structures with deformed choroidal veins.


Fig-4: Saggital and coronal views showing the external drain  and  a clot over the mesencephalon.


Fig-5: Choline elevation confirming still persisting active sites intermingled with the hematoma in the right side.


Fig-6: Spectroscopy short TE showing low choline ratio? with high lipids 1.3 and 0.9. confirming resection of the residual


Fig-7: The hematoma in the bed of resected tumor. Notice that there is no arterial spasm.

The patient had smooth postoperative recovery, but later progressed transitory mutis after tapering Decadron, which resolved over 2 weeks. The challenge in this case was to preserve all the running veins in this area.

In another case with patient operated by me 14-November-2006 for huge craniopharyngioma through subfrontal approach with mobilization and preservation of the olfactory tracts. The patient then developed recurrence and was operated by me 26-May-2015. During the second surgery an Ommaya reservoir must be directed from a point without violating the vascular structures and the CSF to avoid contamination. The following figures (8-13) showing the case:


Fig-8: MRI showing the cystic craniopharyngeal cyst pushing the mesencephalon inferior.


Fig-9: The ceramic ring fixed with localizer and sent to MRI with TxRx head coil to perform coordinated data to the iPs 5 planning software.


Fig-10: The trajectory was exactly planned to have the tube in the most dependant point of the cyst without contaminating the CSF.


Fig-11: Evacuation of the yellow-brown craniopharyngeal cystic component. 


Fig-12: Contrast material injected to the cavity to be visible in the C-arm.

    
Fig-13: Contrast material removed from the cavity to be visible in the C-arm.

The patient was discharged the next day and followed for several years.

The following case demonstrating the role of IoMRI and Io neurophysiologic control and application of bipolar pulsed mode radiofrequency in spine surgery:
The patient a female 53 years came to the clinic 03-September-2016 complaining of neck and right upper limb pain for 4 years with progressing numbness right hand. MRI cervical spine spine performed 01-September-2016 without report and very bad quality, showing as be an intramedullary mass behind C1-2-3.
On examination, the patient had no pain when turning the head to all direction. There was weak right deltoid 3/5, left 4/5, right biceps -4/5, left 4/5, flexion right hand 3/5, left 4/5, extension right hand -3/5, left 3/5, right triceps 4/5, left 5/5. There was weak dorsiflexion right foot -4/5, left 4/5. The deep reflexes were exaggerated in the right side, but no pathologic reflexes. There was no apparent sensory deficit.
The patient was sent for thorough investigations and MRI cervical spine performed 04-September-2016 showed huge meningioma 33x12.7 mm intradurally pushing the spinal cord to the left. Spectroscopy was typical for meningioma and the mass was lacking fibers. There was and extension to the right C1-2 foramen reaching the vertebral artery pushing it anterior.
In prone position with the use of IOM ISIS, laminectomy of C2-3 and partial of C1 was achieved. The dura was opened slightly right parallel to the midline. The dumbbell-shaped appearance of the tumor was due to right C2 anterior and posterior rootlets, which were constricting the tumor and they were preserved to the end of surgery. The matrix of the meningioma was the right lateral wall of the dura, which was coagulated and piece-meal resection of the tumor was performed. MEP was troubleshooting and not informative. After the resection of the tumor a tiny piece and the emergence of the right C1 was removed trying during that to preserve the rootlets. Using MultiGen, bipolar motor stimulation of right C2 was achieved with 1.0 V. Motor stimulation of the right side of the spinal cord and a brisk response of the right upper and lower limbs was achieved above the tumor resection area. Irrigation of the area with 1 ampoule Papaverine diluted with 20 ml saline. The dura was closed water-tightly. Routine closure of the wound. The patient was sent to MRI before extubation.
Smooth postoperative recovery. She showed deep paralysis of the right upper and lower limbs, which started to improve over several hours. She was sent to the ICU. Figures (14-21) demonstrating the case.


Fig-14: The meningioma in different sections and sequences.


Fig-15: Single voxel Spectroscopy showing the peak at 3.8 ppm characteristic for meningiomas. For more information, click here!


Fig-16:  Absence of fibers confirming nonglial nature of the mass.


Fig-17: Anatomical architecture of the spinal cord at C2-C3 level.


Fig-18: Resection of the last piece.


Fig-19: The meningioma totally resected with preservation of the crossing root.


Fig-20: Check MRI before extubation.


Fig-21: Check MRI before extubation,

Follow Up
The patient came 03-October-2016 to the clinic walking without aid: The motor function normalized and having numbness left side of the body. The postoperative recovery was amazingly excellent. The wound was clean and she suffered from occipital headache with neck pain.

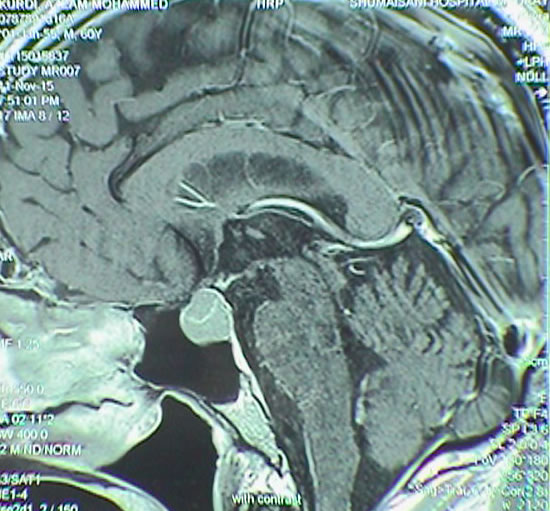
The following case demonstrate the radical resection of pituitary adenoma even with transphenoidal approach: The patient is a doctor of psychiatry 60 years old came 11-November-2015 complaining of general weakness and fainting attacks for 4 years and diagnosed as having prolactinoma. He is diabetic for 10 years with hypertension for 20 years. Signs of panhypoptuitarism were found and treated with L-thyroxin, testosterone and Dystinox 1/2 tab every 2 days. MRI sella done 29-December-2013 and repeated 14-October-2015 showing the macroadenoma is progressing in size and start to compress the optic chiasm from the left and right parasellar extension. The patient noticed visual disturbances of the left eye the last 3 months. PRL level was 6.3 µIU/ml performed 14-October-2015.
The patient was sent for investigations and MRI done 11-November-2015 showing the pituitary adenoma and the MRA showed the relation of the vascular relation to the mass.
Transphenoidal approach guided with the C-arm until the anterior wall of the sphenoid sinus reached through the right nostril. The floor of the sella turcica was partially removed to reach the tumor. The tumor is soft in consistency and it was sent for histologic verification. The tumor was removed trying to preserve the pituitary gland, which is actually the tumor capsule. The eroded dorsum sella was seen. A cavity was obtained inside to pituitary gland. MRI control showed remnant of the tumor at the left side. This part was removed and further removal of the tumor was obtained. 2 Eonmedltech nasal packs with tubes were inserted and another control MRI was performed. The almost radically removed, but packs are directed toward the tumor. They were removed and reinserted to the pharyngio-nasal cavity. The patient then was extubated.
Smooth postoperative recovery. The patient was sent to the ward.


Fig-22: The macroadenoma before surgery.


Fig-23: Intraoperative MRI confirming still having the tumor.


Fig: 24 Control MRI of the sella performed 23-December-2015 demonstrating radical resection of the pituitary adenoma. Frontal view.


Fig-25: Saggital view.


Another case with massive suprasellar extension: The patient came 36 years old to the clinic 14-December-2017 complaining of blurred vision left eye for three years. The last week go almost blind left eye with decreased vision right eye. MRI done in Turkey 11-December-2017 showing huge pituitary adenoma with massive infrasellar and moderate suprasellar extension with signs of apoplexy of the tumor bed with fluid level inside the tumor. The patient is convulsion free.

On examination, the patient can feel the light in the left eye and can count the fingers around 1 meter before the right eye. The oculo-motor innervation is intact. There is no galactorrhea. Normosmia. There are manifestations of panhypoptuitarism, but no data for diabetes insipidus.

The patient was sent for thorough radio-ophthalmo-endocrine investigations. MRI of the sella with MRA done 16-December-2017 showed the tumor pushing the chiasm and optic nerves with suprasellar extension around 16.2 mm. The tumor has massive infrasellar extension reaching the naso-pharyngeal space abutting it. The tumor dimensions are 37.3x28.6 mm. There is no invasion of the cavernous sinuses. There is fluid level inside the tumor confirming the presence of apoplexy. Visual acuity of the right eye after correction 6/6. The left eye 6/0.05. There is massive scatoma left eye with less in the right eye. Prolactine 470 ng/ml, LH 1.19, testosterone 0.3. Considering the above data trans-sphenoidal approach with MRI control was advised. Mathematically speaking the volume of the tumor with the hypophysis is around 8.8 ml.


Fig-26:- Preoperative MRI Showing the huge suprasellar extension.

 
Fig-27:  Preoperative MRI Saggital view.

The patient was put in setting position to perform trans-sphenoidal approach with the C-arm projecting to the sella turcica. A trial to evacuate the tumor by epidural needle 14 was attempted and brownish content was achieved.


Fig-28: Attempt to evacuate the tumor by syringe failed and checked by MRI showing mild reduction.


Fig-29: The tumor resected. Notice the swollen pituitary stalk .

The patient was sent for MRI control. The tumor still there with new bleeding inside the evacuated cavity. The puncture site was extended and the rubbery pituitary inferior wall was incised. The tumor was removed using curettes for biopsy and the remaining was removed by suction. It was possible to see the posterior borders of the pituitary gland. Using Omnipaque diluted 3cc was injected to the tumor cavity. It is pulsating well, manifesting the absence of suprasellar part of the tumor. The patient was sent another time for MRI control. The tumor practically resected with the pituitary stalk hanging free and the optic nerves more than 8 mm above the superior surface of the preserved pituitary gland. There is no bleeding inside the cavity. Routine closure with tampons of nostrils.
Smooth postoperative recovery. The patient was sent to the ward. Follow up MRIs after several months showed disappearance of the edema of the stalk and shrinkage of the swollen pituitary gland.


Fig-30: The sellar content 3 months after completion of radiotherapy. MRI performed 14-January-2019.

Several Authors now performing transphenoidal pituitary adenoma resection with IoMRI.14

I n another case with medulloblastoma: The patient 4 years age came to the clinic with his parents 27-January-2015 complaining of vomiting and drowsiness for 1 month with the last weak complaining of diffuse headache. CT-scan done 25-January-2015, showing a midline posterior fossa mass.
On examination, Considering his age, it was difficult to evaluate him for Romberg positioning, but there was no nystagmus and neurologically was free.
The patient was admitted urgently to the hospital and MRI of the brain with contrast with MRA of the brain and carotids with spectroscopy and DTI were performed under G.A. There is huge medulloblastoma vermian localization with extension to both foramina of Leuschko. So as to avoid putting shunt to him, massive doses of Decadron were started and the patient started to improve.


Fig: 31:- Spectroscopy showing typical data for medulloblastoma


Fig-32: Choline distribution in the medulloblastoma.


Fig-33: Cho/NAA ration distribution of the medulloblastoma.


Fig-34: Floor of the 4th ventricle after removal of the medulloblastoma.

Midline posterior occipital approach in setting position. The bone flap reflected to the neck inferior. The dura was opened in V-shape fashion. The tonsils were shifted downward and the vermis is prominent by the tumor. Sharp dissection of the inferior pole of the vermis ( The uvula). The tumor was highly vascular with rich blood supply. The tumor was coagulated sucked and most of the upper part was removed. The inferior part was was removed until the obex with related structures were seen. The left part of the tumor was followed and resected until the foramen of Leuschko was seen and the left inferior cerebellar peduncle was preserved. The same maneuver was undertaken in the right side. The tumor inside the 4th ventricle was removed and the floor of the 4th ventricle was seen intact with widened aqueduct through which the third ventricle was seen. The superior medullary velum was respected. The floor of the 4th ventricle was flattened due to the previous compression effect of the tumor, that it was impossible to see the median sulcus, nor the paramedian sulci limitantes or the hypoglossal trigone elevations at the calamis scriptorius. I got the impression that the tumor was totally resected, for what intraoperative MRI control with contrast was done.


Fig-35: transfer to MRI for first check up.


Fig-36: MRI done during surgery showing the missing part of the tumor, which was subsequently removed.

There is still part of the tumor in the right upper corner and the right foramen of Leuschko. Resection of this part was achieved until the normal cerebellar tissues were seen at these angles. Strict hemostasis with water-tight closure of the dura and bone flap was secured with 2 stitches and routine closure of the wound.
Smooth postoperative recovery. The patient extubated and sent to the ICU for 24 hours observation.
The patient has typical spectroscopic data supporting medulloblastoma. The histologic result was medulloblastoma.

Despite the availability of all these technologies, complications can be recorded intraoperatively in MRI and some of them are fatal as in this case:
The patient a lady came to the clinic 14-November-2015 complaining of blind left eye for 3 years with bifrontal headache for 2 years and almost blind right eye for 8 months. On examination; the patient is blind in the left eye and can differentiate fingers 10 cm near the right eye. The right eye shift lateral when looking anterior with horizontal nystagmus when looking to the right.
The patient was sent for investigations and MRI done 14-November-2015 showing a giant meningioma involving the planum sphenoidale and tuberculum sella with massive supra-retrosellar growth more to the left with left optic nerve canal extension and stretching with spasm of the left A1 and edema of the left frontal lobe.
Bifrontal craniotomy with reflection of the bone flap to the right. The frontal sinuses were violated and the mucosa stripped accordingly. The dura was opened parallel to the base of the anterior fossa and both olfactory tracts were dissected off the mediobasl frontal lobes, but the left one was completely destroyed by the tumor and it was not possible to dissect it to the trigone for what it was intentionally bisected to remove the anterior part of the tumor. The tumor was rich in feeders and it was necessary to remove it by piece-meal fashion after coagulation. That part compressing the right optic nerve was removed, but at the junction with the chiasm, the tumor was stuck with optic nerve, for what a tiny layer was lift intentionally to preserve the right optic nerve. That part which was extending to the left optic canal was removed, but a thin layer stuck with left ICA was left to avoid vasospasm. It was coagulated. The tumor was followed posteriorly until the basilar artery was seen with Liliquest membrane has defect due to tumor invasion. Most of the time dissection was carried at the area of the right A1 segment and the tumor was maximally removed. It was possible to expose the chiasm at its medial part, which was pushed posterior. The area of the left A1 segment was not violated and to avoid possible bleeding from this segment, a Surgicele was applied to this area. All the feeders which were many, were coagulated and bisected by microscissors. Strict hemostasis and routine closure of the wound with repair of the frontal sinuses by muscle harvested from the left thigh. The patient was sent MRI to investigate the circulation, since a lot of vascular dissection was carried out, especially the right side. MRI showed severe spasm of the left ICA at the bifurcation from the left CCA. MRI with contrast showed branched of the left M1 and the left A1. This could be due to transitory spasm. All measure were to taken to resolve the spasm.16 They failed. The patient then was extubated. Figures (22-26).
Smooth postoperative recovery. The patient showed at the start right side paresis, which resolved over minutes. She was sent to the ICU for 24 hour observation.
The patient progressed right sided paresis with pronounced spasticity 2 hours after surgery. The next day the right limbs improved and the spasticity gone, but she developed diabetes insipidus for what Minirin was started. She still have total aphasia.


Fig-37: The tumor before surgery.


Fig-38: Surgical field after resection. Notice the left ICA looking normal and the right olfactory tract preserved.


Fig-39: Transferring the patient to MRI, before extubation.

 


Fig-40: Complete resection achieved.


Fig-41: The patient showing arterial spasm of the left ICA in the neck.

The patient died the 5th postoperative day despite all measures to fight with the arterial spasm and removal of the bone flap performed 3 days after the first surgery. This case showed that despite using all these techniques, some problems remain and will still unable to resolve them, even when you see them in real time and try your best.

Our initial results have been encouraging and further research is required to evaluate the clinical effectiveness of IoMRI in the management of specific tumors and the role of advanced MRI techniques in the intraoperative context.

The ceiling suspended and the MRI moving to the operating room were omitted from our plan, because of the fear of troubleshooting the constructs. Instead we purchased the another dockable table to be ready to replace the first in case of troubleshooting.

RESULTS
IoMRI was used during 20 cranial mass resections in 15 adults and 5 children. Overall, IoMRI scan led to further surgery in all these cases.
Complete surgical resection was intended in (80%) operations. IoMRI findings suggested complete resection in (40%), residual disease in (20%), and equivocal residual disease in (10%) patients. All cases were apparent tumor free after first or second intraoperative MRI check up. Follow-up MRI scans at 3 months in 6/7 patients with equivocal IoMRI did not show any evidence of residual tumor, and therefore these patients could be classified as complete tumor resection, making the total number in this category as (80%).

DISCUSSION
Intraoperative MRI having place in practice for 20 years and it took several trails and versions to accomplish.[7] IoMRI has become increasingly important as a tool to aid safe and complete resection of brain tumors in adults, and is expected to make a major contribution to neurosurgery for pediatric brain tumors. In a study of adults with low-grade gliomas, Pamir et al. have reported that 3-T IoMRI led to further resection in up to 40% of cases and increased the proportion of complete tumor resections by over 30%.[8] In another study of adult patients with high-grade gliomas, the use of a low-field IoMRI increased the proportion of complete macroscopic tumor resection from 36 to 75%.[4] Computer-assisted neuronavigation using preoperative MRI is now considered standard care and has facilitated radical tumor resection and increased survival in adults. In a study of 104 adults with glioblastoma treated surgically, the use of image-guided neuronavigation led to complete macroscopic tumor resection in 31% using neuronavigation, but only 19% without neuronavigation. The use of neuronavigation and complete tumor resection were associated with a highly significant increase in patient survival.[10]

Other than high-field MRI, other modalities for intraoperative brain imaging include ultrasound (US), computed tomography (CT; using either fixed or mobile scanners), and low- and medium-field MRI. It is important to note that none of these alternative intraoperative modalities can match the diagnostic accuracy of high-field MRI in the evaluation and documentation of completeness of tumor resection now required for modern treatment protocols. In addition, IoMRI can obviate the need for postoperative MRI imaging which will otherwise be needed within 24 h of surgery to document the extent of tumor excision. This is particularly useful if the child is in an unstable clinical condition in the postoperative period and in children who would otherwise require a second general anesthetic for postoperative high-field MRI scan to document the extent of tumor excision.
The extent of resection is an important predictor of prognosis in children with medulloblastoma, ependymoma, and high-grade glioma.[1,9,11] Traditionally, this has led to reoperation following early postsurgical scan. IoMRI now provides the opportunity to identify cases where the surgical aim has not been met and extended resection is possible. In our initial experience, IoMRI has resulted in extended surgical resection in all operations, including 26% where complete resection was intended and 41% where partial resection was intended. In literature, the reported rates of extended resection vary between 27.5 and 60%. Our results are similar to those reported by Nimsky et al.[6] in their initial experience with 1.5-T IoMRI, where the surgical strategy was modified in 27.5% of the first 200 patients (both children and adults). In a recent paper, Levy et al. have reported their experience in 98 children who underwent IoMRI using a 1.5-T scanner. In this study, 25 adults and children underwent surgery for brain tumors, and in 60% of these, IoMRI led to further surgery.[5] Variations in the rate of extended resection are likely to occur given the diverse patient groups, tumor types, and surgical and radiological expertise. On balance, the results to date, indicate that IoMRI has led to improved tumor resection and further research is required to assess the clinical outcome for individual patient groups.

In our experience, high-field IoMRI has not only improved the percentage of gross total resection in keeping with the surgical goal, but also proven invaluable in the surgical management of deep-seated tumors in eloquent areas where the surgical goal had been limited resection. In 20% of our patients where the surgical goal was subtotal resection, further resection was carried out following IoMRI. This is particularly relevant in surgical management of deep-seated chiasmatic/hypothalamic gliomas where a midline approach (transcallosal interforniceal) gives a minimally invasive but limited view of often very large tumors. In these cases, a planned IoMRI at the halfway stage to evaluate progress and fine-tune the final resection has been very useful. IoMRI adds safety to this type of surgery and allows the surgeon to make an informed decision about the amount of residual tumor to be left, while minimizing the damage to functionally important structures such as the hypothalamus and optic chiasm. Another application of IoMRI is to confirm the biopsy tract and that representative tumor areas have been biopsied.

IoMRI has not only reduced the need for early reoperation, but also reduced the number of early postoperative MRI scans, previously performed routinely between 24 and 48 h post surgery. In our practice, the final IoMRI scan has replaced the postoperative MRI scan and helped to streamline patient care pathway.

Evaluation of IoMRI studies pose certain challenges, and although we have not encountered significant problems with interpretation of IoMRI, they are well described in literature. These include susceptibility artifacts, surgically induced contrast enhancement, and brain shift.

Susceptibility artifact can occur from external sources including metallic objects (even if nominally MRI compatible) such as head holder pins and endotracheal tubes or intracranial sources including hemorrhage and air introduced during surgery. Gradient- and echo planar-sequences are the most affected. The use of titanium pins to hold the head minimizes susceptibility artifact. Also, the pins are usually placed away from the region of interest to minimize the influence of susceptibility artifact on image interpretation. We use MRI compatible endotracheal tubes and carbonized pins, which are free of artifacts. Placing the cuff of the endotracheal tube on the chest rather than beside the head can reduce the associated artifact. Irrigation of surgical cavity reduces the amount of intracranial and intracavitary air.

Surgically induced contrast enhancement is a potential cause for misinterpretation during brain tumor resection. The following four types of contrast enhancement induced by surgery have been described:[3]
1. meningeal enhancement,
2. Increased enhancement of the choroid plexus,
3. Delayed enhancement of the surgical margin, and
4. Immediate intraparenchymal enhancement.
The latter two are thought to be caused by leakage of contrast material from surgically open vessels or transient blood brain barrier disruption and have a greater potential to be misinterpreted as residual tumor. This phenomenon is particularly important in tumors with cystic components and at a site where a bipolar cauterizing instrument has been used during surgery. Careful comparison with preoperative imaging is advisable in these circumstances.

Intraoperative brain tissue deformation (brain shift) is frequently multifactorial. These include reduction in tumor mass, collapse of the resection cavity, edema, hemorrhage, and drainage of cerebrospinal fluid. Careful comparison of anatomical landmarks including the sulci, the gyri, the vessels, and the non-deformed parenchymal structures is useful in orientation. Diffusion tensor imaging with fiber tracking may be helpful in this situation.


CONCLUSION
In our experience, when managing all neurosurgical and spine cases, the IoMRI aided with all neuro software, provides us with the ability to illustrate, document, and discuss all aspects of surgery and is a significant improvement in the quality of patient care. Being able to confirm the achievement of surgical aims immediately before extubating the patient and even to decide, who can awakened, or to keep him in ventilator, is an immeasurable quality leap in parent satisfaction and experience. This technology has transformed our management approach to brain tumor in all patients by influencing surgical decisions and increasing the rate of complete tumor resection and the extent of partial tumor resection. Optimal use of this expensive intraoperative facility requires careful planning and management. Equivocal findings resulting from postsurgical contrast enhancement can pose challenges. When you merge the data obtained from neurophysiologic intraoperative monitoring, such as MEP, SEP, VEP, AEP, EEG, EMG, PRESP and you have a lot of data, enforcing to have a new look to phenomena such as transitory postoperative paraplegia, when the neural structures having a good look after tumor resection. Further studies involving larger numbers of patients/procedures, outcome, and the use of advanced IoMRI techniques need to be encouraged.


Footnotes
Disclaimer: The author of this paper have received no outside funding, and have nothing to disclose.


REFERENCES
1. Albright AL, Wisoff JH, Zeltzer PM, Boyett JM, Rorke LB, Stanley P. Effects of medulloblastoma resections on outcome in children: A report from the Children's Cancer Group. Neurosurgery. 1996;38:265–71. [PubMed]
2. Abernethy LJ, Avula S, Hughes GM, Wright EJ, Mallucci CL. Intraoperative 3-T MRI for paediatric brain tumours: Challenges and perspectives. Pediatr Radiol. 2012;42:147–57. [PubMed]
3. Knauth M, Aras N, Wirtz CR, Dörfler A, Engelhorn T, Sartor K. Surgically induced intracranial contrast enhancement: Potential source of diagnostic error in intraoperative MR imaging. AJNR Am J Neuroradiol. 1999;20:1547–53. [PubMed]
4. Knauth M, Wirtz CR, Tronnier VM, Aras N, Kunze S, Sartor K. Intraoperative MR imaging increases the extent of tumor resection in patients with high-grade gliomas. AJNR Am J Neuroradiol. 1999;20:1642–6. [PubMed]
5. Levy R, Cox RG, Hader WJ, Myles T, Sutherland GR, Hamilton MG. Application of intraoperative high-field magnetic resonance imaging in pediatric neurosurgery. J Neurosurg Pediatr. 2004;4:467–74. [PubMed]
6. Nimsky C, Ganslandt O, Von Keller B, Romstöck J, Fahlbusch R. Intraoperative high-field-strength MR imaging: Implementation and experience in 200 patients. Radiology. 2004;233:67–78. [PubMed]
7. Terrance M. Darcey, Erik J. Kobylarz, Michael A. Pearl, Patricia J. Krauss, Stephanie A. Ferri, David W. Roberts and David F. Bauer. Safe use of subdermal needles for intraoperative monitoring with MRI. In Neurosurgical Focus Volume 40: Issue 3 (Mar 2016): Utility of Intraoperative Imaging.
8. Pamir MN, Ozduman K, Dinçer A, Yildiz E, Peker S, Ozek MM. First intraoperative, shared-resource, ultrahigh-field 3-Tesla magnetic resonance imaging system and its application in low grade glioma resection. J Neurosurg. 2010;112:57–69. [PubMed]
9. Rodríguez D, Cheung MC, Housri N, Quinones-Hinojosa A, Camphausen K, Koniaris LG. Outcomes of malignant CNS ependymomas and examination of 2408 cases through the Surveillance, Epidemiology and End Results (SEER) database (1973–2005) J Surg Res. 2009;156:340–55. [PubMed]
10. Wirtz CR, Albert FK, Schwaderer M, Heuer C, Staubert A, Tronnier VM, et al. The benefit of neuronavigation for neurosurgery analysed by its impact on glioblastoma surgery. Neurol Res. 2000;22:354–60. [PubMed]
11. Wisoff JH, Boyett JM, Berger MS, Brant C, Li H, Yates AJ, et al. Current neurosurgical management and the impact of the extent of resection in the treatment of malignant gliomas of childhood: A report of the Children's Cancer Group trial no.CCG-945. J Neurosurg Paediatr. 1998;89:52–9. [PubMed]
12. Rajashree U Gandhe, Chinmaya P Bhave, Intraoperative magnetic resonance imaging for neurosurgery – An anaesthesiologist's challenge. Year : 2018 | Volume : 62 | Issue : 6 | Page : 411-417 Indian Journal of Anesthesia.
13. Clinical MR Spectroscopy Techniques and Applications Peter B. Barker Alberto Bizzi Nicola De Stefano Rao P. Gullapalli Doris D. M. Lin Cambridge University press ISBN-13 978-0-521-86898-3
14: Intraoperative high-field MRI for transsphenoidal reoperations of nonfunctioning pituitary adenoma. Sven Berkmann, M.D.et.al J Neurosurg 121:1166-1175 ©AANS, 2014
15. Intraoperative magnetic resonance spectroscopy for identification of residual tumor during low-grade glioma surgery. M. Necmettin Pamir, M.D., Koray Özduman, M.D., Erdem Yıldız, M.D., Aydın Sav, M.D., and Alp Dinçer, M.D. Departments of Neurosurgery, Radiology, and Pathology, Acıbadem University School of Medicine, Istanbul, Turkey. J Neurosurg 118:1191–1198, 2013.
16. Angiography in the Management of Intra- and Supra-Sellar Tumours. R. A. Money and G. K. Vanderfield. Journal of Neurosurgery Volume 12: Issue 3 (May 1955)

Skyra MRI with all clinical applications in the run since 28-Novemeber-2013.


Inomed Riechert-Mundinger System, with three point fixation is the most accurate system in the market. The microdrive and its sensor gives feed

MER

MER Inomed system.

Inomed ISIS 32 channel Highline Functional Neuronavigtion.

Inomed ISIS IOM highline with 32 channel and Neuroexplorer version 5 is functioning for several months, starting from 01-August-2007. For more detailed information about this functional neuronavigation machine with its early alarming signals, please refer to inomed.com

 

Leica HM500

Leica HM500
The World's first and the only Head mounted Microscope.
Freedom combined with Outstanding Vision, but very bad video recording and documentation.

TRUMPF TruSystem 7500

After long years TRUMPF TruSystem 7500 is running with in the neurosuite at Shmaisani hospital starting from 23-March-2014

 

 


View Larger Map
 

© [2018] [CNS CLINIC - NEUROSURGERY - JORDAN]. All rights reserved